A fractured or broken tooth can affect more than just your appearance. It can interfere with chewing, speech, and confidence while also increasing the risk of sensitivity and infection. Thanks to modern cosmetic dentistry, composite veneer for fractured tooth is one of the most effective, quick, and affordable solutions to restore your smile naturally.
At Chetna Superspeciality Hospital, we provide advanced dental treatments using the latest techniques to help patients regain healthy, beautiful smiles. Patients from Chinchwad, Pimpri, Wakad, Thergaon, Ravet, Punawale, Kiwale, Akurdi, PCMC, and nearby Pune areas trust us for safe, aesthetic, and long-lasting dental care.
What Is a Fractured Tooth?
A fractured tooth refers to any crack, chip, or break in the tooth structure. It may occur due to:
- Accidental falls or trauma
- Biting hard food or objects
- Teeth grinding (bruxism)
- Weak enamel due to decay
- Old or failing dental fillings
Fractured teeth can range from minor chips to major breaks exposing inner layers of the tooth. Ignoring a fractured tooth can lead to pain, infection, and further damage.
Why Timely Treatment for a Fractured Tooth Is Important
Leaving a fractured tooth untreated can cause:
- Increased tooth sensitivity
- Sharp edges causing tongue or cheek injury
- Food lodgement and decay
- Gum infections
- Risk of tooth fracture worsening
Early treatment with composite veneer for fractured tooth helps preserve natural tooth structure and avoids more complex procedures like crowns or root canal treatment.
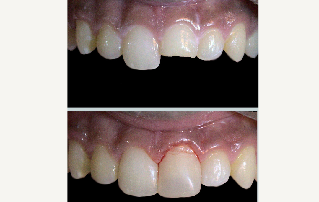
What Is a Composite Veneer for Fractured Tooth?
A composite veneer is a tooth-colored resin material bonded to the front surface of a damaged tooth. It is carefully sculpted and polished to match the shape, color, and texture of your natural teeth.
For fractured teeth, composite veneers provide:
- Immediate restoration
- Natural aesthetics
- Minimal tooth preparation
- Cost-effective cosmetic treatment
This treatment is especially popular among patients looking for non-invasive cosmetic dentistry in Chinchwad and PCMC.
Benefits of Composite Veneer for Fractured Tooth
Choosing a composite veneer for fractured tooth offers several advantages:
1. Natural Appearance
Composite resin closely mimics natural tooth enamel, making the restoration virtually invisible.
2. Single-Visit Treatment
Most composite veneer procedures are completed in one appointment.
3. Minimally Invasive
Little to no removal of natural tooth structure is required.
4. Cost-Effective
More affordable than ceramic veneers or crowns.
5. Repairable
If damaged, composite veneers can be repaired easily.
Step-by-Step Procedure at Chetna Hospital
At Chetna Superspeciality Hospital, our dental experts follow a precise and patient-friendly approach:
Step 1: Dental Examination
A thorough oral examination is done to assess the extent of the fracture.
Step 2: Shade Selection
Tooth shade is matched carefully for a natural finish.
Step 3: Tooth Preparation
Minimal surface preparation is done, if required.
Step 4: Composite Application
Layered composite resin is applied and sculpted.
Step 5: Curing & Polishing
The veneer is hardened using a curing light and polished for a glossy, natural look.
Who Is an Ideal Candidate for Composite Veneer?
You may be a suitable candidate if you have:
- Chipped or fractured front teeth
- Minor to moderate tooth damage
- Gaps or uneven edges
- Tooth discoloration along with fracture
- Good oral hygiene
Patients from Thergaon, Wakad, Ravet, Punawale, and Pimpri-Chinchwad often prefer composite veneers for fast cosmetic correction.
Composite Veneer vs Dental Crown
| Composite Veneer | Dental Crown |
|---|---|
| Minimal tooth reduction | Extensive tooth reduction |
| Single visit | Multiple visits |
| Lower cost | Higher cost |
| Best for front teeth | Used for severely damaged teeth |
For minor to moderate fractures, composite veneer for fractured tooth is often the preferred choice.
Aftercare Tips for Composite Veneers
To ensure long-lasting results:
- Avoid biting hard objects (ice, pens, nuts)
- Maintain proper oral hygiene
- Use a soft-bristled toothbrush
- Visit your dentist regularly
- Wear a night guard if you grind teeth
With proper care, composite veneers can last 5–7 years or more.
Why Choose Chetna Superspeciality Hospital for Dental Veneers?
Patients choose Chetna Hospital for dental care because we offer:
- Experienced dental specialists
- Advanced cosmetic dentistry techniques
- Hygienic and patient-safe environment
- Affordable dental treatment options
- Personalized smile design
We proudly serve patients from Chinchwad, Akurdi, Nigdi, Pimpri, Wakad, Hinjewadi, Ravet, Punawale, PCMC, and Pune.
Common FAQs About Composite Veneer for Fractured Tooth
Is the procedure painful?
No. The procedure is painless and usually does not require anesthesia.
How long does a composite veneer last?
With proper care, it can last several years.
Can composite veneers be removed?
Yes, they are reversible and can be modified or replaced.
Is it safe for young adults?
Yes, composite veneers are safe and conservative, making them ideal for young patients.
SEO Keywords Used in This Blog
- Composite veneer for fractured tooth
- Dental veneer treatment in Chinchwad
- Cosmetic dentist near me
- Fractured tooth treatment in PCMC
- Best dental hospital in Chinchwad
- Smile makeover in Pimpri-Chinchwad
- Dental clinic in Wakad, Thergaon, Ravet
- Cosmetic dentistry in Pune
Book Your Consultation at Chetna Hospital
If you have a fractured or chipped tooth and are looking for a quick, natural-looking solution, composite veneer for fractured tooth may be the perfect option for you.
📍 Chetna Superspeciality Hospital, Sambhajinagar, Chinchwad, Pune
📞 Contact us today to book your dental consultation and restore your smile with confidence.












